Простак

Бесплатные советы стоматолога

1 480 posts in this topic

А не подскажите, где лечат зубы без удаления нерва?

Дело в том, что у меня на 7-ке уже раза три перепломбировали и скоро нужно будет ещё раз ставить пломбу, так как кариес прогрессирует. Но зуб живой и признаков боли пока нет. А вот если будут пломбировать, то возможно уже расковыряют до нерва. Хотелось бы опробовать новую методику :)

Какой зуб Вам так запломбировали и в каком состоянии он сейчас?

 

К сожалению я оказался жертвой обмана горе-врача((( Делали 6 зуб (пульпит), а на 7 поставили пломбу (кариес) . Так эта маленькая пломбочка два раза выпадала. В итоге пришлось обратиться к другому специалисту , вот он то мне и открыл глаза на всю правду о депульпированном зубе :huh: . Еще одно плохое последствие неквалифицированного лечения это образовавшийся карман между десной и зубом.Так что помочь ничем не могу , извините...

 

П.С. Зачем нашей стране столько стоматологов , если лечить могут грамотно лишь малый процент из них????? Не болейте и будьте счастливы!

0

Share this post


Link to post
Share on other sites

 

 

Истинная киста консервативной терапии не поддаётся. Потому, только хирургия.

Лет 10 назад, на 5 зубе ни появилась киста, 2 года с ней мучался. Потом сам её иголкой выковыривал каждый вечер ( боялся к врачу идти) и что интересно после пару недель кропотливой работы удалось её в домашних условиях удалить, зуб теперь абсолютно здоров. Вот это считаю повезло, с другим зубом не так удачно вышло запустил кисту потом пришло удалять зуб.

От чего эта гадость появляеться?

0

Share this post


Link to post
Share on other sites

Пломба пластмассовая по любому.Со светоотверждением дороже,химическая дешевле.Но и та и другая отлетит,если доктор работает неправильно.И наоборот,если он соблюдает технологию и та и другая простоит долго.Но главное в лечении пульпита пломбировка каналов

Это основа,на которой зуб будет стоять годы или воспалиться через пару-тройку месяцев.

Многое еще не от доктора зависит а от самого больного, если во время пломбировки ему говорят не закрывайте рот дайте пломбе просохнуть, а он не слушает мочит её слюнями, Через пару часов начинает жевать жвачки и грызть орехи. Ежедневно пьет чай с кипятком заедая его мороженным. Доктор тут не при чем.

Это как эмалировка ванны, если только купаться в прохладной воде, после купания срочно все протирать тряпочкой и сушить. Тогда эмаль возможно не отвалиться, все остально нельзя.

Если хотите хорошую прломбировку каналов, то надо идти туда где есть ренгент без ренгента вам могут плохо запломбировать и все начнет воспаляться через несколько месяцев или лет.

В частных клиниках расположеных в жилых домах ренгент врядли найдете, а если и найдете то значить им повезло и соседи про них еще не узнали.

Edited by hok
0

Share this post


Link to post
Share on other sites

А собственно чем вас хромникель не устраивает, он как раз таки лучше хромкобальта в плане аллергичности и не окисляется.

Хм... А что же тогда в самых приличных клиниках Ташкента, просто отказались от хромникеля и самый дешевый вариант, в таких клиниках именно хром кобальт. И почему же тогда в Европе уже много лет полностью запретили хромникель в стоматологии (законодательно)?....

 

 

Как известно, никель уже достаточно давно признан аллергеном и онкогеном. В Германии запрещено использование никеля не только в стоматологии, но и бижутерии, т.е. во всех предметах которые прикасаются к человеческому телу. Этот вопрос был поднят на конгрессе «Квинтэссенции» году так в96-97. Был приведен клинический случай возникновения локального аллергического гингивита в области интактного зуба. После биопсии и исследования под микроскопом оказалось, что слизистая нашпигована металлическими осколками, содержащими никель. Выяснилось, что с соседнего зуба снимали литую коронку. Кстати, коронки нельзя разрезать алмазными борами, потому что алмазная крошка фиксируется к стержню с помощью сплава содержащего никель.

 

 

Почитайте стом. форумы... даже тут пишут что на кобальт случаев аллергии меньше.

 

 

Вот еще..

 

 

В России 90% металлокерамических изделий в стоматологических клиниках содержат в своем составе никель, несмотря на то, что все прогрессивное человечество от него уже отказалось. Достоинство у никеля одно — он придает пластичность сплаву. Однако по последним данным швейцарских стоматологов, использование никельсодержащих сплавов небезопасно как для пациентов, так и для врачей. Дело в том, что более 40% женщин и 8% мужчин предрасположены к аллергическим реакциям на никель. Кроме того, оксид никеля оказывает как общее, так и местное токсическое действие и, как утверждают швейцарские стоматологи, может приводить к хроническим заболеваниям.

В состав сплавов для металлокерамических изделий входят также кобальт, хром, молибден, бериллий, галлий и другие металлы. Они необходимы, чтобы сплав обладал всеми необходимыми стоматологическими свойствами (прочность, плавкость, биоинертность). Бериллий и галлий, кстати, тоже относятся к элементам, способным накапливаться в тканях организма и оказывать токсическое и даже онкогенное воздействие. Однако в отличие от никеля их доля в сплавах минимальна. Марина Колесниченко, стоматолог: Наши коллеги в Германии, Франции, Швейцарии уже много лет не используют металлокерамику, содержащую никелевый сплав. В Европе его использование запрещено на законодательном уровне, у нас же это самый популярный материал.

 

Если учесть, что никелевые сплавы главным образом поставляются в Россию из Европы, возникает ряд вопросов не столько к отечественным стоматологам, сколько к европейским производителям — самым гуманным в мире. Впрочем, никелевая металлокерамика — далеко не единственный вариант имплантатов. Василий Козлов: Мы используем кобальт-хромовые имплантаты, так как считаем их более безопасными при сравнимой стоимости.

 

 

Edited by Vlad
0

Share this post


Link to post
Share on other sites

А где делают у нас коронки с циркониевым напылнением?

0

Share this post


Link to post
Share on other sites

Лет 10 назад, на 5 зубе ни появилась киста, 2 года с ней мучался. Потом сам её иголкой выковыривал каждый вечер ( боялся к врачу идти) и что интересно после пару недель кропотливой работы удалось её в домашних условиях удалить, зуб теперь абсолютно здоров. Вот это считаю повезло, с другим зубом не так удачно вышло запустил кисту потом пришло удалять зуб.

От чего эта гадость появляеться?

:lol:

Новые методы лечения кист от hok

 

К стати у меня тож есть друг котор утверждает что его обезболивающие не берут ,когда лечили зуб оно не действовало и он все чувствовал . Мне кажется что все это ерунда укол в правильное место с правильным препаратом решает все .

Почти.Но есть несколько "но".Индивидуальная чувствительность к препарату,аномальное расположение нервов,плотность тканей костного вещества(в которых нерв находится),наркомания(алкоголизм)пациента,элементарное потребление лошадинных доз обезболивающих препаратов накануне посещения стоматолога,психологическое состояние пациента(многие путают боль с тактильной чувствительностью) и.т.д.

Решение проблемы - общий наркоз.

0

Share this post


Link to post
Share on other sites

Сразу заранее попросите что бы сделали лидокаин, и не проводили на вас эксперементы другими обезболивающими.

0

Share this post


Link to post
Share on other sites

Внешне их никак не различить,здесь надо полагаться на добросовестность врача и зубного техника.

Люди,полагайтесь на чек об оплате и гарантийные таллоны.

0

Share this post


Link to post
Share on other sites

Сразу заранее попросите что бы сделали лидокаин, и не проводили на вас эксперементы другими обезболивающими.

А что есть другие обезболивающие, новокаин уже лет 20 не колют :))

 

Люди,полагайтесь на чек об оплате и гарантийные таллоны.

Уважаемый Простак, дайте пожайлуста контакты тех клиник, где дают гарант. талон :) в котором еще написано какой тип металла и прочее...
0

Share this post


Link to post
Share on other sites

Уважаемый Простак, дайте пожайлуста контакты тех клиник, где дают гарант. талон :) в котором еще написано какой тип металла и прочее...

Я больше года уже не в деле.В моих кабинетах давали.Требуйте и вам дадут.Только до того как сесть в кресло и платить в кассу.И потом чек об оплате - это отличный аргумент против мошенников в белых халатах.Обещание пожаловаться в НГ или в суд отрезвит любого.Главное знайте,что у вас есть права и ничего не бойтесь.Они сами вас боятся.Переделать некачественную работу куда менее накладно,чем ходить по судам и доказывать что то.

Удачи. :)

0

Share this post


Link to post
Share on other sites

А что есть другие обезболивающие, новокаин уже лет 20 не колют :))

Есть какой-то американский препарат, постояно под ним предлагают сделать, нерв замораживает на половину, боль при удалении нерва адская

0

Share this post


Link to post
Share on other sites

Чем посоветуете запломбировать каналы после удаления нервов на 7 зубе?

Резорцином не хочу, так как он вреден для организма и зуб потом становится хрупким.

И ещё, что можете сказать про цельнолитые КХС коронки с циркониевым напылением на жевательный зуб. Стоит ли ставить такие? Сегодня мне сказали, что такая коронка будет стоить 65 000 сум, дорого это или нормально?

0

Share this post


Link to post
Share on other sites

А что есть другие обезболивающие, новокаин уже лет 20 не колют :))

 

 

если бы. как-то поздно вечером распухла десна над зубом мудрости. боль адская, хоть на стену лезь. все клиники уже закрыты. поехали в главташкентстроевскую больницу. какой-то хирург говорит садись, помогу. зафигачил целый огромный шприц новокаина, причем не в десну, а куда-то между виском и ухом снаружи, приговаривая, что там какой-то нерв самый нужный, типа щас все пройдет.:wacko: чуть сознание не потеряла от этой процеДУРЫ:blink:

0

Share this post


Link to post
Share on other sites

Сразу заранее попросите что бы сделали лидокаин, и не проводили на вас эксперементы другими обезболивающими.

Зачем лидокаин то? Есть нормальные и более современные, например, артикаин, ультракаин, мепивакаин. Если хотите посильнее (и сердце в порядке)попросите чтобы был обязательно эпинефрин (адреналин по нашему).

Они все идут в карпулах. Иглы одноразовые, очень тонкие, есть разные размеры. Главное смотрите, чтобы карпула была целой, резинка куда вкалывается игла должна быть абсолютно целой, резинка в которую упирается поршень должна быть практически возле края карпулы. А то наши грешат 1 карпулу на 2-3 больных использовать. ВИЧ заразиться невозможно, а вот насчет гепатита - не уверен.

0

Share this post


Link to post
Share on other sites

Чем посоветуете запломбировать каналы после удаления нервов на 7 зубе?

Резорцином не хочу, так как он вреден для организма и зуб потом становится хрупким.

И ещё, что можете сказать про цельнолитые КХС коронки с циркониевым напылением на жевательный зуб. Стоит ли ставить такие? Сегодня мне сказали, что такая коронка будет стоить 65 000 сум, дорого это или нормально?

есть хороший пломбировочный материал для каналов - endofil

0

Share this post


Link to post
Share on other sites

есть хороший пломбировочный материал для каналов - endofil

Спасибо за ответ, но это просто название, а мне нужно описание механизма пломбировки каналов. Я же не буду искать стоматологию по названию материала :D

Или именно спрашивать, чем пломбируют каналы?

Чем вообще сейчас у нас пломбируют каналы, какие есть варианты?

Edited by Марк
0

Share this post


Link to post
Share on other sites

Чем вообще сейчас у нас пломбируют каналы, какие есть варианты?

Это зависит от того, какое у Вас заболевание.

Если пульпит или плановое удаление пульпы перед протезированием - подойдет Эндофил, Гуттасиллер (вместе с гуттаперчей), Камфорфен, при ампутации - Пульпотек, кто-то рискует ставит цементы, иногда стеклоиономерные.

При периодонтите - лучше пломбировать в несколько посещений с проверкой на герметизм и протезироваться минимум через 2-3 месяца. Здесь лидером является Абсцесремеди, можно Метапекс или Камфорфен.

 

При посещении клиники можете спросить врача, чем он будет пломбировать, посмотреть описание в интернете, а потом уже решать.

0

Share this post


Link to post
Share on other sites

Это зависит от того, какое у Вас заболевание.

Зуб не болит, но предстоит перепломбировка седьмого нижнего зуба и так как пломба эта уже будет наверное третья или четвёртая на этом зубе, то возможно придётся удалять нервы. После этого просто поставят световую пломбу. Вот и думаю, чем же пломбировать каналы, чтобы максимально безопасно для здоровья было.

0

Share this post


Link to post
Share on other sites

Зуб не болит, но предстоит перепломбировка седьмого нижнего зуба и так как пломба эта уже будет наверное третья или четвёртая на этом зубе, то возможно придётся удалять нервы. После этого просто поставят световую пломбу. Вот и думаю, чем же пломбировать каналы, чтобы максимально безопасно для здоровья было.

Хм... Может быть, Ваш стоматолог сможет сохранить пульпу. Пульпа - это не только нервы, это целый комплекс состоящий из сосудисто-нервной ткани, которая участвует не только в обменных процессах зуба, но и несет гуморальные функции.

Спросите своего стоматолога про Пульпотек, и умеет ли он им пользоваться. Если будет использовать по правилам - 80-90% что сохранится корневая пульпа. Если он скажет, что будет пломбировать им сами каналы - бегите от него, он дикий(таких немало) :( .

Если решитесь на экстирпацию (полное удаление пульпы) - смело можете ставить Эндофил или Камфорфен. Пусть только постарается не выходить за апекс.

Кстати, обязательно сделайте рентген!!! Иногда бывает, что зуб на вид интактный, а под ним может быть огромная гранулема.

 

Если полость очень большая - попросите поставить анкерный штифт внутрь канала. А то так и будете постоянно пломбировать.

0

Share this post


Link to post
Share on other sites

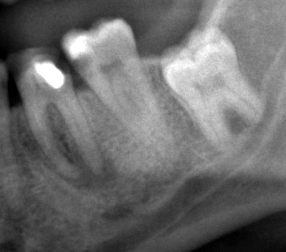
Конечно хотелось бы сохранить пульпу, но не знаю насколько это возможно. Про Пульпотек спрошу конечно. А как технически можно сохранить пульпу, если кариес подобрался уже очень близко? Снимок есть, под зубом вроде бы всё нормально. Вот снимок:

post-5281-0-97097600-1318704001_thumb.jpg

Восьмёрка ещё не вылезла, семёрку надо перепломбировать, а вот шестёрку лет 10 назад резорцином заполнили, теперь нужно коронку ставить со штифтом, как врач мне сказал.

Edited by Марк
0

Share this post


Link to post
Share on other sites

Конечно хотелось бы сохранить пульпу, но не знаю насколько это возможно. Про Пульпотек спрошу конечно. А как технически можно сохранить пульпу, если кариес подобрался уже очень близко? Снимок есть, под зубом вроде бы всё нормально. Вот снимок:

post-5281-0-97097600-1318704001_thumb.jpg

Восьмёрка ещё не вылезла, семёрку надо перепломбировать, а вот шестёрку лет 10 назад резорцином заполнили, теперь нужно коронку ставить со штифтом, как врач мне сказал.

перед тем как ставить коронку на 6 зуб,обязательно перелечите каналы , судя по снимку у вас там хронический периодонтит.

 

Конечно хотелось бы сохранить пульпу, но не знаю насколько это возможно. Про Пульпотек спрошу конечно. А как технически можно сохранить пульпу, если кариес подобрался уже очень близко? Снимок есть, под зубом вроде бы всё нормально. Вот снимок:

post-5281-0-97097600-1318704001_thumb.jpg

Восьмёрка ещё не вылезла, семёрку надо перепломбировать, а вот шестёрку лет 10 назад резорцином заполнили, теперь нужно коронку ставить со штифтом, как врач мне сказал.

А по поводу семерки ,можно смело ставить постоянную пломбу- кариес до нерва не добрался

0

Share this post


Link to post
Share on other sites

А как технически можно сохранить пульпу, если кариес подобрался уже очень близко? Снимок есть, под зубом вроде бы всё нормально.

Восьмёрка ещё не вылезла, семёрку надо перепломбировать, а вот шестёрку лет 10 назад резорцином заполнили, теперь нужно коронку ставить со штифтом, как врач мне сказал.

Технически - попытаться обработать кариозную полость не вскрыв пульпарную камеру, затем поставить лечебную прокладку (желательно Life, но подойдут и российские аналоги), на лечебную поставить изолирующую прокладку из компомера, затем уже саму пломбу.

Шестерку нужно будет полечить. Попросите Абсцессремеди. И главное чтобы он вышел за апекс. Сразу не протезируйтесь. Ждите, этот зуб уже никуда не торопится. Кстати, при надавливании на зуб больно?

 

А по поводу семерки ,можно смело ставить постоянную пломбу- кариес до нерва не добрался

Я бы не был столь оптимистичным. Между кариозной полостью и пульпарной камерой осталось небольшое растояние, которое может быть представлено размягченным дентином, при удалении котрого может обнажиться пульпа. В принципе и это не смертельно, потолще слой Лайфа, и временную пломбу на пару недель.

Edited by Snapper
0

Share this post


Link to post
Share on other sites

Как внешне отличить хром никелевый и хром кобальтовый сплав?.(речь о металлокерамике)

Никак.

 

Лет 10 назад, на 5 зубе ни появилась киста, 2 года с ней мучался. Потом сам её иголкой выковыривал каждый вечер ( боялся к врачу идти) и что интересно после пару недель кропотливой работы удалось её в домашних условиях удалить, зуб теперь абсолютно здоров. Вот это считаю повезло, с другим зубом не так удачно вышло запустил кисту потом пришло удалять зуб.

 

Это невозможно.

 

От чего эта гадость появляеться?

От всякой дряни в каналах. Причём, дрянью может служить и пломбировочный материал.

 

Сразу заранее попросите что бы сделали лидокаин, и не проводили на вас эксперементы другими обезболивающими.

:)

 

Чем посоветуете запломбировать каналы после удаления нервов на 7 зубе?

 

Эпоксидка + гуттаперча. Гуттаперча - обязательно.

Метод: латеральная или вертикальная конденсация.

 

И ещё, что можете сказать про цельнолитые КХС коронки с циркониевым напылением на жевательный зуб. Стоит ли ставить такие?

Вполне нормальный бюджетный вариант. А так, лучше добавить немного и поставить металлокерамику.

Напыление - фтопку.

Edited by KZR-22
0

Share this post


Link to post
Share on other sites

Конечно хотелось бы сохранить пульпу, но не знаю насколько это возможно. Про Пульпотек спрошу конечно. А как технически можно сохранить пульпу, если кариес подобрался уже очень близко? Снимок есть, под зубом вроде бы всё нормально. Вот снимок:

post-5281-0-97097600-1318704001_thumb.jpg

 

Я б депульпировал такую семёрку.

 

шестёрку лет 10 назад резорцином заполнили, теперь нужно коронку ставить со штифтом, как врач мне сказал.

Шестёрку перелечивать надо. Судя по снимку, перелечить вполне реально. Если нет перфораций и если каналы хорошо отмыть хлоркой со звуком, то жить этому зубу ещё долго и счастливо. :)

0

Share this post


Link to post
Share on other sites

Здравствуйте ,у меня на нижней 4-ке была оголена шейка , кариеса не было , не болел , мне запломбировали эту шейку , а теперь этот зуб реагирует на холодное , теперь мне нужно нерв удалить или можно так оставить , пока сильно не разболиться или может там уже происходит воспалительный процесс , спасио заранее

0

Share this post


Link to post
Share on other sites

Create an account or sign in to comment

You need to be a member in order to leave a comment

Create an account

Sign up for a new account in our community. It's easy!


Register a new account

Sign in

Already have an account? Sign in here.


Sign In Now

  • Recently Browsing   0 members

    No registered users viewing this page.